Benessere Orale

Chirurgia orale e implantologia a Lugano


chirurgia orale E Implantologia

Per i casi più complessi, proponiamo interventi di chirurgia orale e implantologia con tecnologie avanzate e attenzione alla sicurezza del paziente. Ogni trattamento è pianificato con meticolosità.


Chirurgia orale

Eseguiamo estrazioni complesse, rimozione di cisti o lesioni e piccoli interventi correttivi. L’impiego di tecniche minimamente invasive favorisce una guarigione più rapida e minori disagi post-operatori.

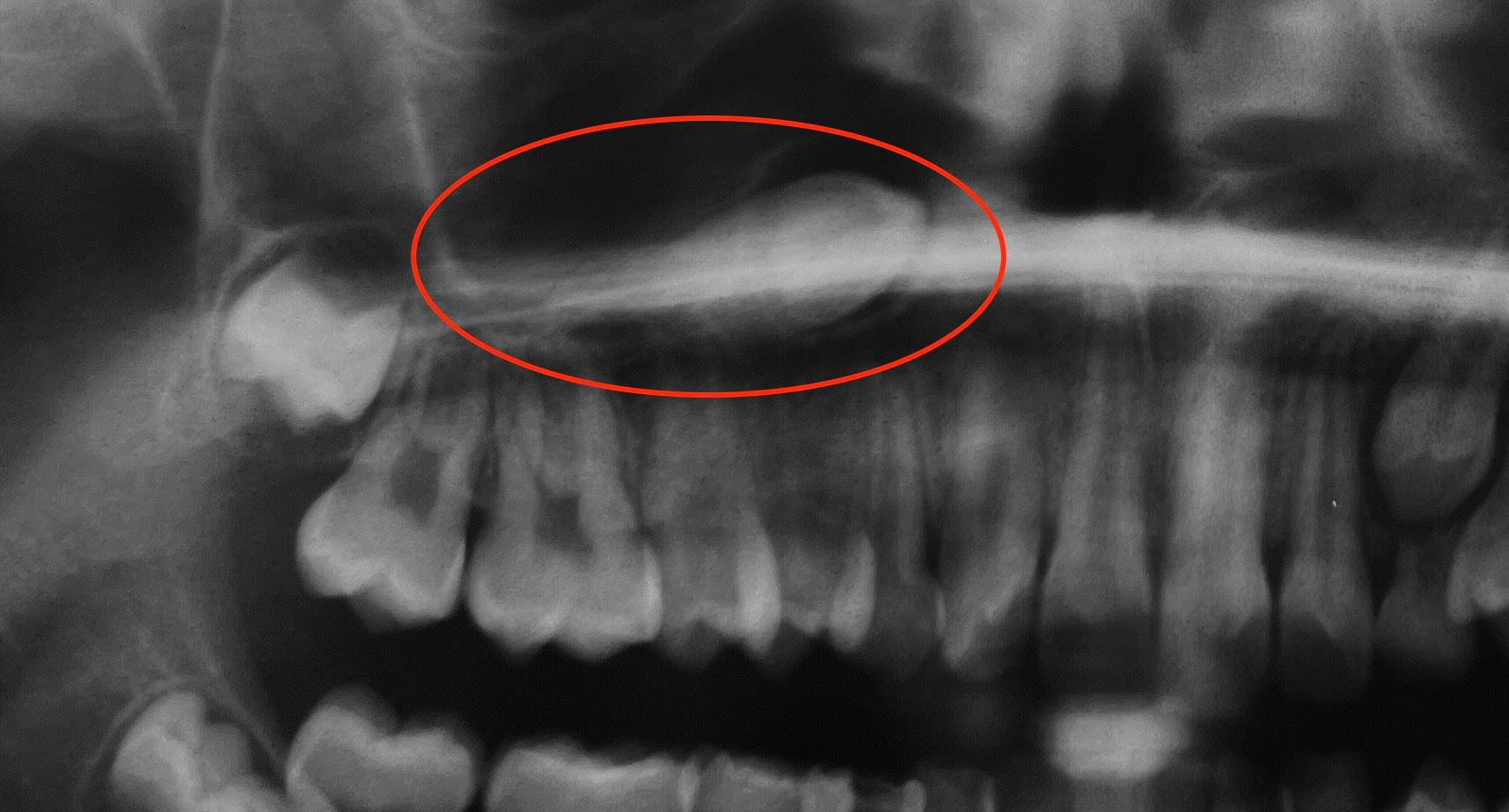
Estrazione di un dente del giudizio incluso e di un dente soprannumerario

Dente del giudizio incluso con un dente soprannumerario

Dente del giudizio e dente sopranumerario estratti

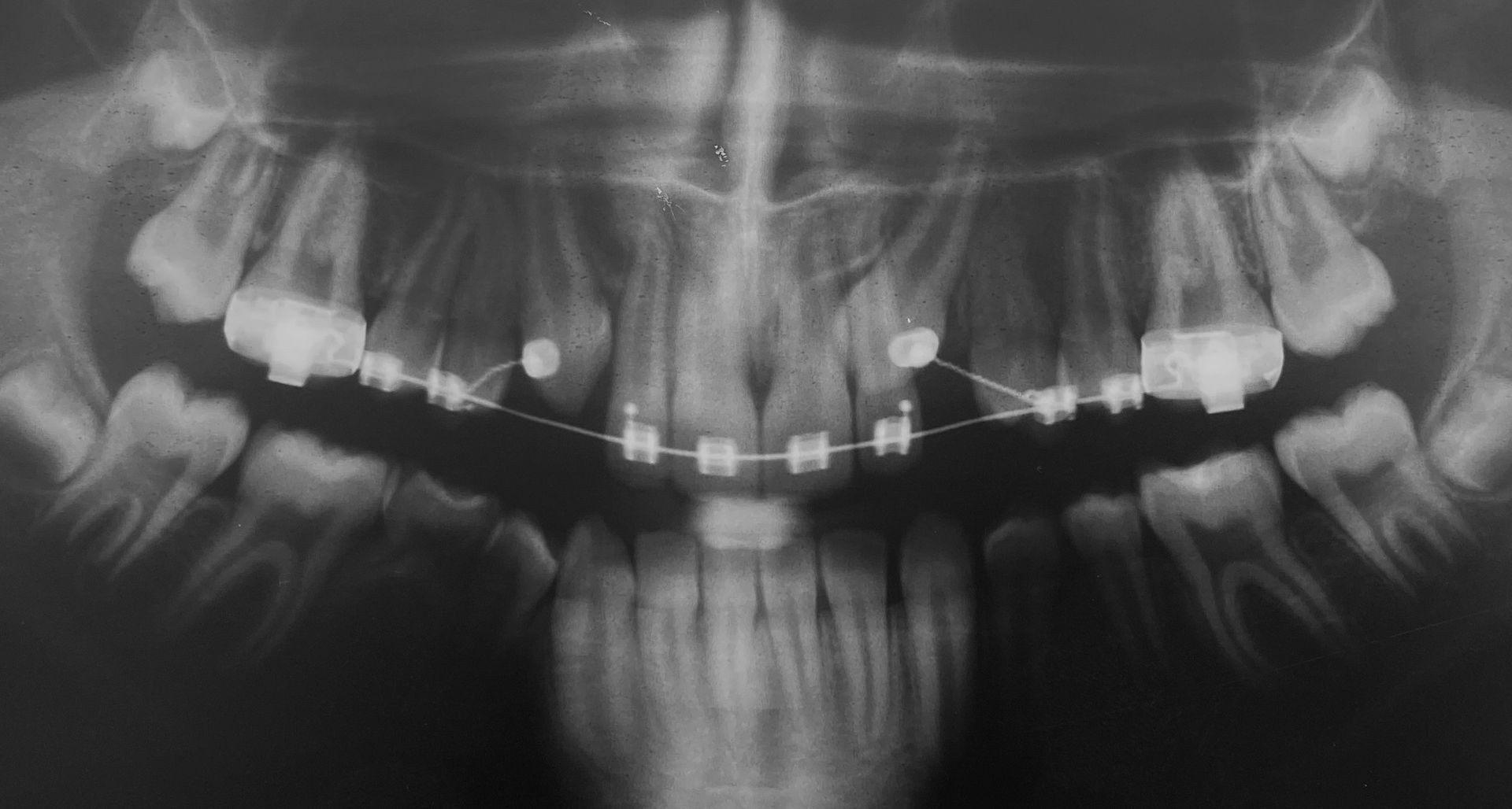
Agganciamento dei canini superiori inclusi

Canini superiori inclusi

Agganciamento canini superiori inclusi

Entrambi i canini sono stati agganciati chirurgicamente per l'allineamento

Cura ortodontica terminata con i canini perfettamente allineati

Canino incluso

Posizione orizzontale del canino

Rimozione chirurgica del canino incluso

Risultato finale

Estrazione di un dente del giudizio superiore incluso con radici molto divergenti

Visione radiografica in 3D

Dente estratto

Estrazione di un dente soprannumerario incluso

Visione radiografica

Visione post estrattiva

Dente estratto

Rimozione di una cisti e agganciamento di un canino superiore incluso

Cisti che impedisce al canino di allinearsi

Rimozione della cisti e agganciamento del canino

Il canino viene trascinato nella posizione corretta

Il canino perfettamente allineato


Implantologia dentale

Inserimento di impianti in titanio per sostituire denti mancanti. Anche in caso di osso insufficiente, adottiamo tecniche di rigenerazione ossea per garantire risultati stabili, sicuri e duraturi.

Riabilitazione di un segmento laterale edentulo con

posa di impianti e rigenerazione ossea

Segmento laterale edentulo

Posa impianti nel 2006

Situazione stabile dopo 19 anni


Cure in narcosi o sedazione

Offriamo sedazione cosciente o narcosi con assistenza anestesiologica qualificata, per permettere ai pazienti più ansiosi di affrontare ogni intervento in tranquillità.


Laser e terapia fotodinamica

Tecnologie laser e fotodinamiche per trattamenti delicati, precisi e con tempi di recupero ridotti. Ideali per parodontologia, chirurgia e rigenerazione.

Schema di un ricevitore telefonico.

Prenota una valutazione implantare

Scrivici oggi stesso e scopri di più sui nostri servizi.