RIABILITAZIONE ESTETICA E FUNZIONALE

Protesi dentali fisse e mobili a Lugano


Soluzioni protesiche su misura

Quando l’estetica e la funzionalità del sorriso sono compromesse, le protesi dentali rappresentano una soluzione efficace e personalizzata. Presso il nostro studio a Lugano offriamo terapie su misura per ogni esigenza, realizzate con materiali di alta qualità.


Protesi fisse (corone e ponti)

Le protesi fisse sostituiscono denti mancanti con elementi stabili, estetici e duraturi. Corone e ponti sono ancorati a denti naturali o impianti, assicurando comfort e risultati naturali.

Riabilitazione completa della bocca di un paziente bruxista

Situazione iniziale

Differenza tra prima e dopo

Situazione finale a riposo

Sorriso finale

Riabilitazione con corona su impianto di un centrale superiore

Situazione iniziale

Situazione finale

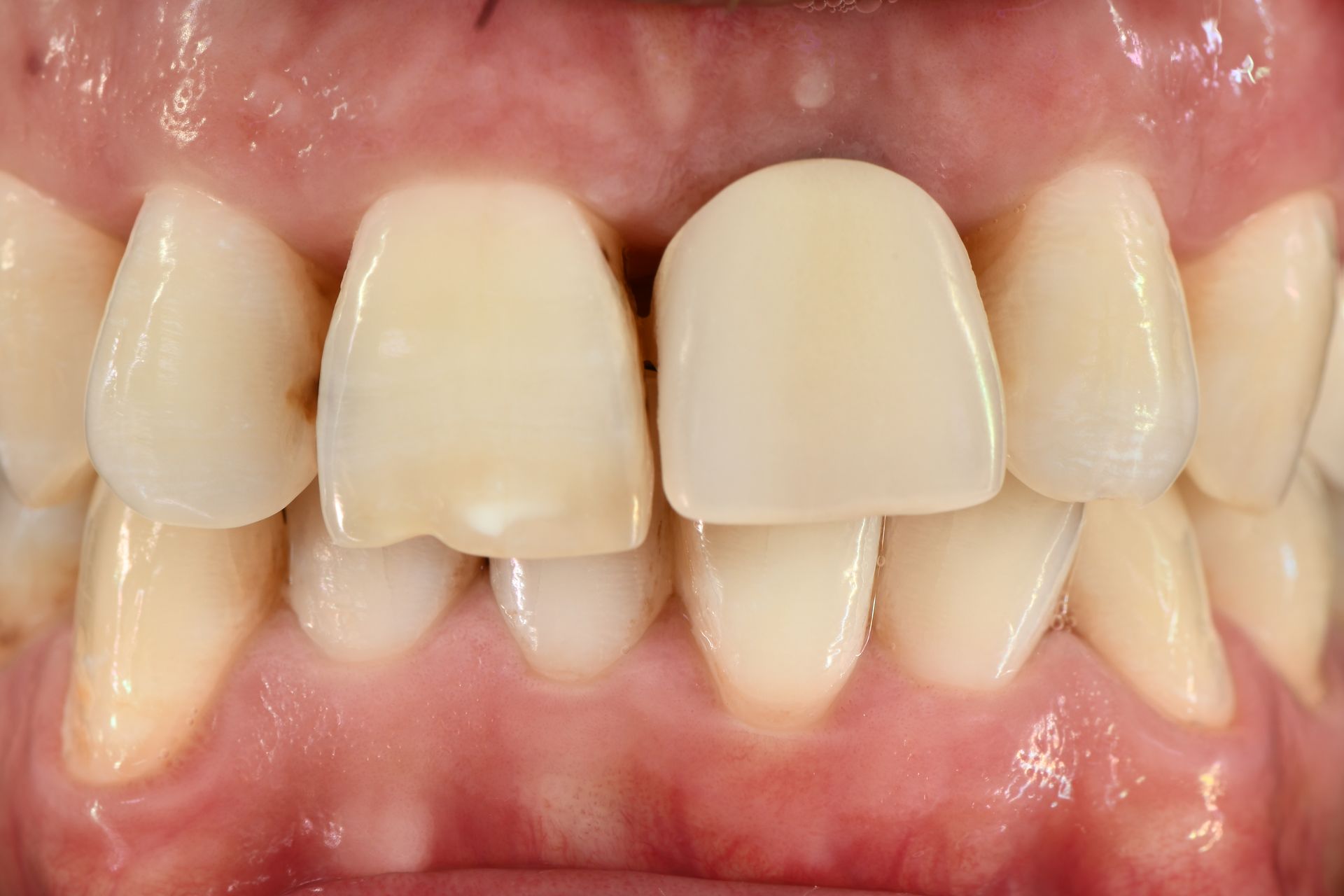
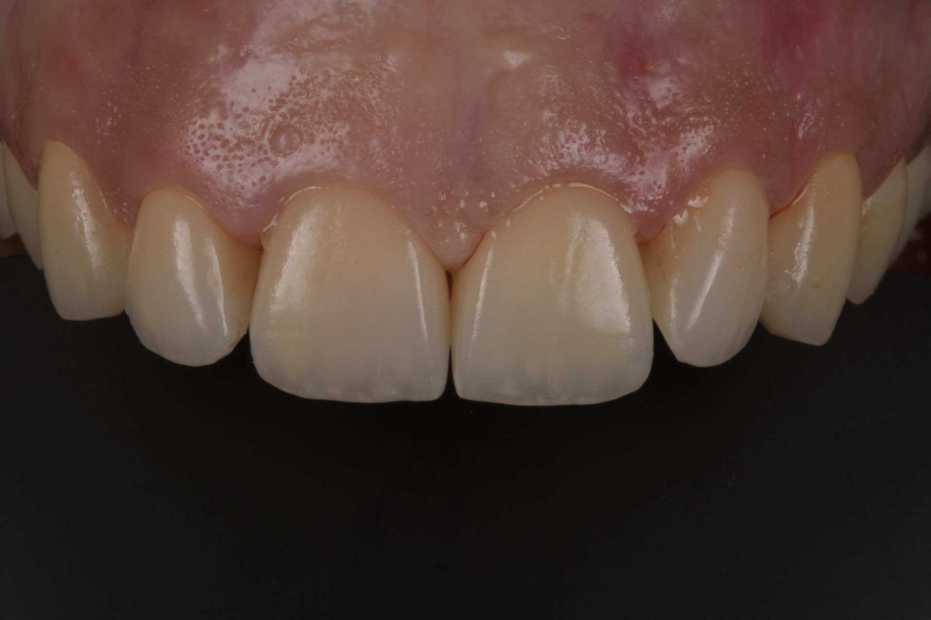
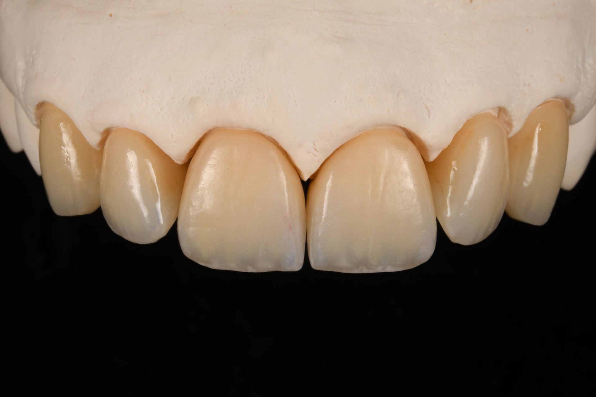
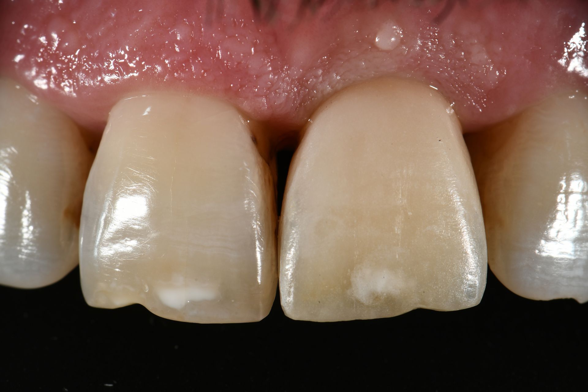
Riabilitazione di 6 denti frontali superiori

Situazione iniziale

Preparazione dei 6 denti per le corone

Corone sul modello

Risultato finale


Protesi amovibile (parziale e totale)

Soluzione ideale in caso di edentulia parziale o totale. Le protesi mobili sono progettate per adattarsi perfettamente all’anatomia del paziente, offrendo stabilità e facilità di manutenzione.

Protesi totali

Protesi parziali

Schema di un ricevitore telefonico.

Prenota una valutazione protesica

Chiamaci ora per ricevere una consulenza