Salute Dentale

Odontoiatria estetica e conservativa a Lugano


Trattamenti conservativi ED ESTETICI

Proponiamo soluzioni moderne per ricostruire e valorizzare il tuo sorriso. I trattamenti conservativi ed estetici rispondono alle esigenze funzionali e di bellezza, con tecnologie all’avanguardia e un approccio preciso e delicato.


Odontoiatria conservativa

Rimozione della carie e ricostruzione del dente con materiali estetici e resistenti. L’obiettivo è preservare il più possibile il dente naturale, ripristinando funzionalità e forma.


Facette estetiche

Sottili lamine in ceramica applicate sui denti anteriori per correggere imperfezioni di forma, colore o posizione. Un trattamento minimamente invasivo e dal risultato armonioso e duraturo. Le faccette che proponiamo non hanno aspetto di 'piastrelle da bagno', tutte uniformi e prive di caratterizzazioni, ma rispecchiano ciò che la natura crea. Non sono preconfezionate, ma create con abilità dall'odontotecnico.

Sei faccette superiori da canino a canino

Prima

Dopo

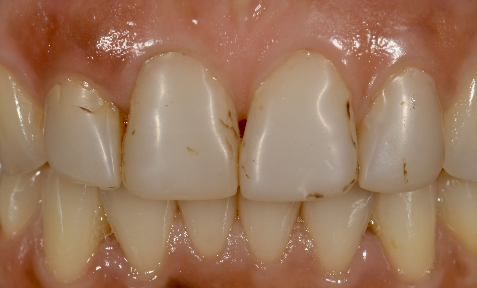
Corone sui due centrali e faccette sui due laterali

Lavoro in laboratorio

Corone e faccette su modello

Due corone (centrali) e due faccette (laterali) in bocca

Situazione iniziale e finale (odontotecnico Marco Cossu)

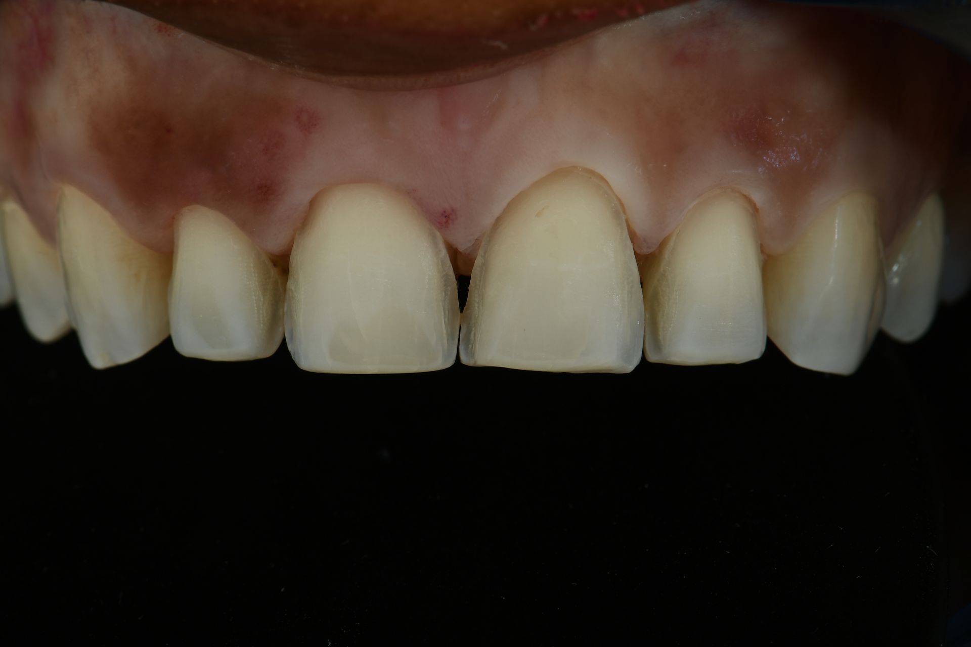
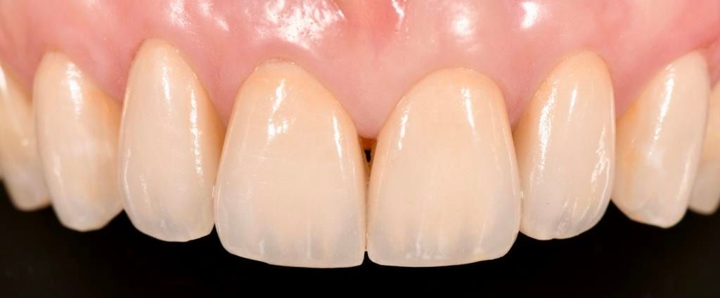
Riabilitazione con faccette sui 4 frontali superiori

Situazione iniziale

Preparazione minima dei denti

Faccette sul modello in gesso

Situazione finale


Restauri con tecnologia Cerec

Il sistema Cerec utilizza scansioni digitali per progettazioni precise, rapide e altamente estetiche.

Impronta ottica delle preparazioni dei denti per intarsi

Modellazione al computer degli intarsi

Fresatrice Cerec

Blocchetto di materiale estetico


Odontoiatria pediatrica

Cure preventive e conservative per i bambini, con un approccio empatico e rassicurante. Aiutiamo i più piccoli a vivere esperienze positive e a costruire una corretta igiene orale fin da subito.

Schema di un ricevitore telefonico.

Prenota una consulenza estetica

Chiamaci oggi per fissare un appuntamento!